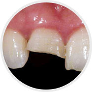
牙缺损影响美观, 继发牙髓、牙周病, 引起患牙与邻牙松脱;个别牙掉了,咬合错乱,邻牙则移位、松动、脱落!
  • 3M纳米树脂
  • 超薄瓷贴面
  • 烤瓷/全瓷牙冠

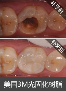
龋齿、蛀牙补牙首选

修复原理:

祛除龋坏组织后被动,进行补牙材料填充,恢复形态与功能。

牙体形态轻微缺损

修复原理:

在基本不磨牙的前提下,对变色牙、轻微缺损进行覆盖。

牙根健全、大面积缺损

修复原理:

牙体牙髓病需根管治疗后打桩, 采拥牙套形式保护基牙,延长寿命。

  • 活动假牙
  • 瓷附体固定假牙
  • 烤瓷牙桥

局部可摘活动假牙

适应人群:

大部分缺牙人都可选,但咀嚼力稍显不足,且易引起牙周疾病。

固定假牙磁附体义齿

适应人群:

大部分缺牙者可选,通过稳定的磁铁吸引力来固定假牙。

烤瓷牙桥·缺一补三

适应人群:

寿命取决于基牙与邻牙的稳定程度 牙周病人、余牙松动等情况慎选