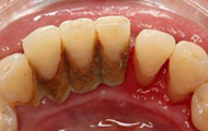
當患牙無法治療時,需拔除;博愛曙光口腔數字化無痛拔牙,采用微創器械,拔牙過程安靜,術後無腫脹期,兒童也無恐懼。
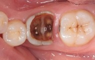
治療前行牙片檢查,牙片對醫生有指導作用,可辨別齲壞程度、是否阻生等,從而制定治療方案……[詳細]
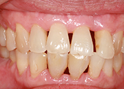
通過麻醉梯度,消除痛感;采用微創器械,充分松動患牙,輕松夾出,拔牙創口僅牙根大小,杜絕傳統拔牙的削、劈、鑿等方式,避免骨震動,消除恐懼與緊張。
針對智齒,建議拍片判斷是否阻生“萌芽期”拔牙創口小;若完全橫向萌出,則會增加拔牙難度……[詳細]
技術改良:疼痛+恐懼,是困擾患者的兩大因素。痛感源于個體敏感程度;恐懼源于拔牙聲音骨傳導、器械運轉造成的精神緊張,博愛曙光針對兒童、青少年、老年人做出更人性化的拔牙舒適化改良。
拔牙屬于治療類項目,可用“醫保報銷”,報銷比例與流程,可咨詢博愛曙光口腔客服專線……[詳細]