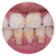
牙石菌斑危害大,千万别小瞧

Plaque plaque harm is big, don't underestimate

牙石、菌斑是导致牙周炎和牙龈炎的罪魁祸首,牙龈发炎肿胀、菌斑堆积、并由龈上向龈下扩延,滋生各类牙周致病菌使得牙龈炎症加重,导致牙周袋的形成和牙槽骨吸收,最终引发牙齿脱落。

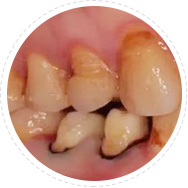
龈下刮治,深层洁牙

用精细的龈下刮治器刮除位于牙周袋内根面上的牙石和菌斑,牙周炎的主要致病因素即为附着在牙根表面形成的牙石和菌斑,龈下刮治术可以去除深在的牙石菌斑。

龈下刮治流程

市医保定点连锁 看牙省心超值

City health insurance fixed point chain, dental care value

作为市医保定点单位、深圳老字號醫院,博爱曙光口腔始终以顾客为中心,优化服务,严抓医疗质量,恪守医疗本质,给顾客省心超值的看牙体验!
  • 博愛曙光医保定点

  • 深圳老字號醫院

即刻预约看牙 · 恢复健康不等待

博愛曙光推荐专家

Boai Shuguang dental recommendation experts