
影響颌面軟硬
組織的正常發育
咬合不當局部磨損
造成牙神經疼
引發齲齒及
牙龈牙周炎症
咀嚼功能降低
導致胃腸疾病
發音出現異常
嚴重會影響正常呼吸
顔值也是競爭力
事業受阻
遺傳因素
不良的口呼吸習慣
替牙期局部障礙
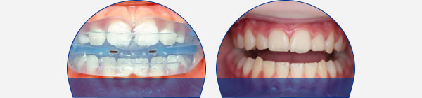
博愛曙光口腔機構的院長指出:佩戴牙齒矯正器是解決龅牙的有效途徑。




牙縫大、牙列稀疏、牙齒擁擠、龅牙、門牙前突、牙列不齊等
時代天使授權·博愛曙光數字化正畸中心制作,釋放更舒適的彈力,原2周壹副升級周抛使用,科學提速30%
牙縫大、牙列稀疏、牙齒擁擠、龅牙、門牙前突、牙列不齊等
博愛曙光隱適美專家爲妳數字化采樣分析,矯牙方案數據傳輸至美國總部批量定制,隱形矯牙高端體驗。

吮手指、流口水、咬鉛筆、口呼吸、異常吞咽等不良口腔習慣、及牙颌畸形的兒童青少年
培養口腔好習慣,避免成年後形成牙颌畸形;無需托槽,白天佩戴1~2小時,學習玩耍無憂,夜間輕松排齊牙齒。
龅牙、地包天、上颌前突、牙間隙大、牙列不齊、牙齒擁擠等牙齒畸形
鋼絲與托槽的靈活搭配,基于顧客牙齒與需求,制定舌側、自鎖、陶瓷托槽、半口隱形等多種矯牙方案,矯牙專家技術好,傳統正畸壹樣能有好效果。
