

牙齒問題不重視 · 孩子壹生受委屈

影響發音交流

小鳥嘴被嘲笑

咀嚼功能不健全

清潔難總蛀牙

吃飯塞牙易牙病

牙龈出血頻繁

大小臉易自卑

影響臉型發育


複診間隔較傳統矯正延長至少4周
托槽邊緣更圓潤,降低黏膜刺激
美化弓絲與托槽,遠距離更隱形


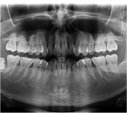
初診檢查拍片費用
矯牙方案設計費
博愛曙光金屬托槽矯正器
口內牙病篩查費用
正畸方案拔牙費
矯牙保持器費用