
牙颌畸形發育導致
不良口腔習慣引起
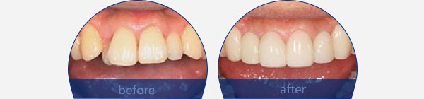
牙周病引起牙齒稀疏
博愛曙光口腔的院長指出:針對因牙颌畸形導致的牙列稀疏,佩戴牙齒矯正器即可。博愛曙光口腔充分做到不同年齡段提供不同的矯牙方案,確保矯牙效果。




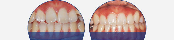
牙縫大、牙列稀疏、牙齒擁擠、龅牙、門牙前突、牙列不齊等
時代天使授權·博愛曙光數字化正畸中心制作,釋放更舒適的彈力,原2周壹副升級周抛使用,科學提速30%
牙縫大、牙列稀疏、牙齒擁擠、龅牙、門牙前突、牙列不齊等
博愛曙光隱適美專家爲妳數字化采樣分析,矯牙方案數據傳輸至美國總部批量定制,隱形矯牙高端體驗。

吮手指、流口水、咬鉛筆、口呼吸、異常吞咽等不良口腔習慣、及牙颌畸形的兒童青少年
培養口腔好習慣,避免成年後形成牙颌畸形;無需托槽,白天佩戴1~2小時,學習玩耍無憂,夜間輕松排齊牙齒。
龅牙、地包天、上颌前突、牙間隙大、牙列不齊、牙齒擁擠等牙齒畸形
鋼絲與托槽的靈活搭配,基于顧客牙齒與需求,制定舌側、自鎖、陶瓷托槽、半口隱形等多種矯牙方案,矯牙專家技術好,傳統正畸壹樣能有好效果。

根據檢查結果,病理性導致的牙列稀疏,不壹定適合做牙齒矯正,博愛曙光口腔會以實際情況,個性化定制適合的解決方案,如: