• 什么是骨量不足?
由于长时间缺牙,造成牙槽骨被吸收,需要先植骨再进行种牙手术。若无足够的骨量支撑,强行种植修复,会对身体造成很大的伤害。
牙周病/根尖周炎骨量差
长期缺牙骨区萎缩
长期戴假牙骨量不足
外伤缺损骨组织塌陷
活动假牙与烤瓷牙桥会造成牙体损伤,使用3~5年就要换假牙,远期费用较高;又不能阻止牙槽骨萎缩,久了邻牙前倾后倒、塞牙蛀牙牙周病接踵而来,并不利于健康邻牙的寿命。
创口如牙根
没有异物感
避免牙槽骨
1天仅6毛钱
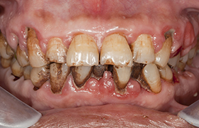
大部分傳統口腔醫療機構採用翻瓣種牙,手術刀刮開牙齦,不適感強。博愛曙光口腔MAC數位化精確種植牙,種牙不用手術刀,哪里有骨種哪里,創口僅牙根大小,能忍受拔牙就能輕鬆種牙!
导板种牙不用刀
3D种植导板定位角度深度
不翻瓣不开刀好得快
4颗钉能种半口牙
拱桥导板植入告别栅栏种牙
省下至少1/3手术费用
哪里有骨种哪里
口内模拟种植导板控制角度
减少牙槽骨量要求
精确重建咬合关系
CT三维重建数控导板定位
不偏不倚种稳牙
博愛曙光口腔依託嚴格的醫生准入機制,打造博士專家團隊,以香港大學深圳口腔科胡驍穎教授為核心,匯口腔醫學人才聚三甲口腔名醫,為市民口腔健康提供品質診療服務!
博愛曙光口腔種植系統均為原裝進;材料均獲OHSMS1800健康安全認證以及ISO9000品質認證;享受5年甚至終生質保並提供養護。